눈에 띄지 않는 투명 장치로
편안하고 자연스러운 교정 솔루션
인비절라인 투명교정
1:1 맞춤형 투명교정
빠른 적응력
최적화 소재
특별한 이유
제한이 없습니다.
발음에 문제가 없습니다.
충치 잇몸질환이 적습니다.
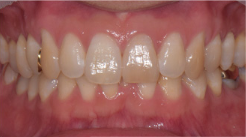
웃을 수 있습니다.
심미적입니다.
응급상황이 없습니다.
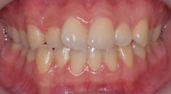
3개월 안에 끝내는 간단 교정
티나지 않고 투명하게 말끔히!
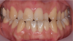
1.앞니가 튀어나오거나 벌어진 분
2.전체교정은 부담스러운 분
3.결혼, 취업 전 단기간 교정을 원하는 분
4.티 안나는 교정을 원하는 분
원하는 부분만 간편하게 교정
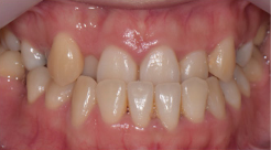
짧은 기간으로 완벽치아 완성!
1.치료기간 DOWN 비용부담 DOWN
2.고민되는 치아만 선택적으로!
3.정확한 치아진단으로 고난이도도 완벽 배열!
4.부분교정도 깔끔하게! 투명하고 환한 미소
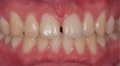
전체적인 치아를 오차없이 투명교정
다양한 부정교합 및 돌출입에도 적용 가능!
1.1:1 맞춤 치아교정으로 처음부터 끝까지, 책임진료
2.돌출 케이스도 OK! 치아 뿌리까지 정확하고 빠른 밀착!
3.스마트트랙 장치로 고난이도 케이스도 완벽 적용!
4.적은 내원 횟수로 바쁜 사회인도 편리한 교정
인비절라인 투명교정
전세계 700만명 이상이 선택
전세계 100여개국 이상에서 사용
90개 이상의 특허보유
20년 이상의 연구
상대적으로 떨어짐
심미성
뛰어남
딱딱하거나 질긴음식 불가
음식섭취
제한없음
설측교정의 경우 적음 필요
발음
문제없음
노력을 더 기울여야 함
위생관리
쉬움
브라켓탈락, 철사 찔림 등
응급상황
거의없음
상대적으로 많음
충치, 잇몸질환이환율
브라켓교정 보다 적음
강화 플라스틱
재질
특허받은 SmartTrack
국내 기공소
제작
미국 인비절라인 본사
간단한 케이스에만 적용
적욕 케이스
모든 부정교합
특수한 치아이동만 가능
치아 이동형태
모든 형태의 치아 이동
X
FDA승인
O
매 교정장치 제작 시 채득
치아인상채득
시작 시 한 번만 채득
치료가능한 케이스는?
인비절라인은 어려운 케이스도 가능한 투명교정입니다.

덧니

반대교합

벌어진치아

돌출입

개방교합

과개교합

비대칭

옥니(역교정)
美ABO 공인 교정전문의, UCLA
교정과 트레이닝
ABO 공인 미국치과 교정 전문의
(Diplomate of the American Board of Orthodontics)
치과교정과 전문의
연세대학교 치과대학 졸업
UCLA 치과대학 교정과 전문의 레지던트 과정 수련
UCLA Dental and Craniofacial Research Institute 수석연구원
인비절라인 교육 의사
미국 치과의사 면허 취득 (California/Texas 주)
미국치과교정학회(AAO) 정회원
미국치과교정전문의협회(ABO) 정회원
대한치과교정학회(KAO) 정회원
인비절라인, 단순한
교정이 아닙니다.
단순 착용만으로 원하는 결과를 얻을 수 없습니다.
그리고 지속적인 지시·수정 과정이 필요합니다.
그에 따라 교정의 결과는 달라집니다.
인비절라인은 보이지 않는 장점이 있지만,
좋은 결과를 위해선 더욱 높은 교정 전문성이
요구되는 치료입니다.


