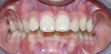
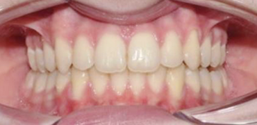
환자가 직접 증명하는 교정 변화
더뉴치과의 치료 전문성


Before
After


Before
After


Before
After


Before
After
간편 상담 예약
개인정보 수집 및 이용에 관한 사항에 동의합니다.


Before
After


Before
After


Before
After


Before
After